Common Treatments

At Kwon Orthodontics we have seen it all! Take a look at some of the case studies below to see the before and after results of treatment.

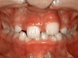
Crowding of the teeth

Patient started treatment at age 11 and wore braces for 26 months. He loves his new smile.

Close-up of a person's mouth showing crooked and overlapping teeth.
Close-up of a person's teeth and gums, showing teeth alignment and gum line.

Open bite – Front teeth don’t touch

Patient sucked her thumb as a young child. She started treatment at age 13. She had braces and a special appliance — called a crib — to retrain the tongue, for 28 months. Now she can bite the lettuce out of a sandwich.

Before

After

Close-up of a person's teeth with braces.
Close-up of a child's front teeth with braces.
Close-up of a person's teeth and gums.
Close-up of a person's mouth showing upper and lower teeth.

Before

After

Close-up of a person's teeth with some misalignment and uneven spacing.
Close-up of a person's teeth and gums, showing a set of straight, clean teeth.

Before

After

Close-up of a child's mouth with chipped and misaligned front teeth.
Close-up of a person's mouth showing misaligned teeth and gums.
Close-up of a person's open mouth showing teeth with some minor irregularities.
Close-up of a person's mouth with missing upper front teeth and a gap in the lower teeth.

Deep overbite – Lower front teeth bite into palate

This adult patient, age 25, required braces and jaw surgery to correct his severe overbite, with treatment taking two years. His problem could have been corrected without surgery if he had been treated before he was a teenager.

Close-up of a person's mouth with crooked, missing, and gapped teeth.
Close-up of a person's teeth and gums showing some misalignment.

Before

After

After

Before

Missing lateral incisors

This patient’s lateral incisors were congenitally missing. She had braces for 20 months to move the teeth into their correct positions, then the missing teeth were replaced with bonded “Maryland” bridges.

After

Before

Underbite – Lower front teeth in front of upper teeth

Patient’s underbite was causing her jaw joint discomfort and excessive wear patterns on her teeth. After about 30 months of treatment starting at age 32, she now finds smiling and chewing much easier.

Spacing of teeth

Patient was bothered by the spaces between his teeth. Braces closed the spaces and gave him an ideal bite in 24 months. Special glued-in retainers help keep the spaces closed.

After

Before

Overjet – Protruding front teeth

At age ten, patient had a big overjet with the top teeth protruding beyond the bottom. She had two phases of treatment. The first helped her jaws to grow more harmoniously and the second aligned her teeth and bite. At age 13, she was proudly displaying her new smile.

Close-up of a person's smiling mouth showing upper teeth.
Close-up of a person's teeth and gums with a smile.

After

Before

Non-braces treatment

Sometimes braces are not needed to get noticeable improvements in tooth alignment. This patient was first seen at age seven for crowding of the lower permanent teeth. A procedure was performed to reduce the width of the adjacent baby teeth and the permanent incisors aligned on their own in nine months.

Close-up of a person's open mouth showing teeth and tongue.
Lower set of teeth with braces or orthodontic appliances in the mouth.

Phase-One

Patient’s parents were concerned about both aesthetics and the health of the erupting permanent teeth when they brought him to the orthodontist at age eight. The lower front teeth were crowded and touching the palate, and the upper front teeth were extremely displaced from their normal positions. After 12 months of Phase-One treatment with an expander and partial braces, patient’s appearance and dental function were vastly improved.

After

Before